病理画像を扱うすべての人に、PidPortを
個人の方でも利用しやすい

PidPort新プラン誕生

PidPortの個人向け新プランとは

PidPort(ピッドポート)は、デジタル病理標本の最適な保管庫としてご利用いただける、病理画像管理クラウドシステムです。病理画像へいつでも・どこでもアクセス可能な環境を提供し、クラウド上でのスムーズな閲覧・共有を実現します。

これまでは法人での契約・導入のみの提供でしたが、個人でもお手軽に利用できるプランが誕生!
今までPidPortをご利用できなかった皆さまにも、ご利用いただけるようになりました。
無料でも利用できるプランもございますので、ぜひ一度ご登録・ご利用ください。

既に法人契約でPidPortをご利用中の方も、個人向けプランをご登録いただくことで、法人環境とは別に、個人専用の環境をお持ちいただけます。
Recommended

こんな方におすすめ

すぐに使い始めたい方

煩雑な契約手続きは不要。簡単な登録だけで、すぐにご利用を開始いただけます。

個人で利用したい
医師・研究者の方

場所や環境にとらわれず、自分専用の利用環境を手軽に構築できるプランをご用意しました。

研究用途で活用したい方

研究用のデジタル病理標本の保管・管理・活用までを一貫して行うことができ、研究活動を支援します。
Features

3つの特徴

1. 個人でも無料で始めやすいプラン

PidPortの個人向けプランは、無料で手軽にご利用を開始いただけます。
まずは無料プランでお試しいただき、必要に応じて有料プランでより幅広くご活用いただけます。

2. 保管・閲覧・共有・AI解析(今後追加)まで対応

PidPortの個人向けプランでも、画像の保管・管理から、ビューワーでの病理画像の閲覧、共有、アノテーションまで対応しています。
AI解析機能(今後追加)にも対応予定で、目的に応じて幅広くご活用いただけます。

3. 新機能追加・UIを継続的にアップデート

PidPortでは、新機能の追加やユーザーインターフェースの改善・開発を継続的に行っています。 個人向けプランでも常に最新の機能をご利用いただけるため、より便利で使いやすいサービスへと進化し続けます。
Getting Started

ご利用フロー

新規会員登録から氏名・メールアドレス入力

新規会員登録ボタンを押下後、氏名とメールアドレスを入力して、「次へ」ボタンを押してください。

メールアドレス認証・パスワード登録

登録したメールアドレス宛に、パスワード登録用のメールが届きますので、リンクをクリックしてパスワードを登録してください。

ログイン後、規約同意・契約情報入力

ログイン画面に遷移するので、ログイン後に規約を確認・同意をして、契約情報を入力してください。

プランと決済情報入力

プラン選択後、決済情報を入力してください。

ログイン後、利用開始

再度ログイン後、PidPortをご利用ください。

Plans

プラン

PidPortの個人向けプランはお手軽にスタートできる「Starterプラン」と
有料でより多くの容量・機能が利用できる「Personalプラン」がございます。
目的に合わせて、プランをご選択ください。
まずは「PidPortの個人向けプランを始める」を押下して、新規会員登録を行なってください。
Key Functions

主な機能

病理画像をクラウド上へアップロード

病理画像(WSI)をクラウド上にアップロードし、ビューワーで閲覧することができます。複数のWSIフォーマットに対応しています。
※対応拡張子:tiff, jpeg, png, svs, ndpi, zip(vsi), isyntax, i2syntax

様々なファイル管理・検索機能

WSI画像以外にも様々なファイルのアップロードが可能です。アップロードしたファイルを検索することも可能です。
※対応拡張子:pdf, doc, docx, xls, xlsx, csv, ppt, pptx, zip

コメント・メモ機能

症例に対してコメントやメモをつけることでユーザー同士のコミュニケーションや個人的な記録が可能です。

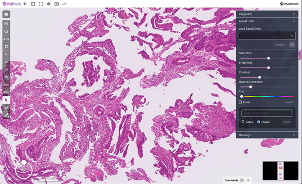
病理画像を見ることができる独自の高速ビューワー

ソフトインストール不要で視認性、操作性にすぐれた独自の高速ビューワーを標準搭載しており、快適にご利用いただけます。

豊富なアノテーション機能

豊富な描画ツールで画像に図示して書き込みをすることができます。記載した注釈(メモ)をユーザー間で共有できます。

色調保存機能

好みの色味に調整して、プライベート用・共有用と分けて色調設定の保存が可能です。

Zスタック画像閲覧

複数レイヤーで構築された Z スタック画像の閲覧が可能です。 Z スタック画像のみ、レイヤー移動のボタンが表示されますので、 Z 軸方向にフォーカスの移動が可能です。

分割ビュー・シンクロ機能

最大で同時に4枚のバーチャルスライドを表示することが可能です。全ての画像を同時に操作可能なシンクロモードが搭載されております。

スクリーンショット機能

保存したい箇所をスクリーンショットで簡単に保存することができます。
High-speed viewer

PidPortの高速ビューワー

Plans

プラン

PidPortの個人向けプランはお手軽にスタートできる「Starterプラン」と
有料でより多くの容量・機能が利用できる「Personalプラン」がございます。
目的に合わせて、プランをご選択ください。
まずは「PidPortの個人向けプランを始める」を押下して、新規会員登録を行なってください。